Экран монитора вспыхнул холодным светом, и в кабинете повисла зловещая тишина. То, что доктор увидел на рентгеновском снимке, заставило его протереть глаза: вместо привычных костей и мышц перед ним была карта звёздного неба. Только «звездами» оказались сотни капсул, плотно засевших в плоти пациента. Мужчина пришел с жалобой на кашель, а ушел с диагнозом, от которого волосы встают дыбом.
Человек-улей
Доктор Сэм Гали, специалист по неотложной помощи, опубликовал этот снимок как напоминание о хрупкости человеческого тела. Белые точки, усеявшие таз и ноги пациента, — это кальцинированные цисты, кладбище погибших паразитов, которых организм навечно замуровал в твердые оболочки.
Диагноз — цистицеркоз. Но как это случилось? Пациент не просто съел плохое мясо. Он проглотил яйца паразита (например, с немытыми овощами, грязной водой или через немытые руки). В желудке из яиц вылупились личинки, которые прогрызли стенки кишечника и с кровотоком разлетелись по всему телу, осев в мышцах. Пациент жил обычной жизнью, не подозревая, что стал живым инкубатором.
Роковой спор
Если случай с рентгеном оставляет шанс на жизнь, то история Сэма Балларда не даёт надежды. Вечеринка в саду, бокал вина и проползающий мимо слизняк. Кто-то из друзей бросил в шутку: «Спорим, не съешь?». Сэм съел.
Через несколько дней его ноги отказали. Слизняк оказался носителем крысиного легочного червя. Паразит добрался до мозга, вызвав эозинофильный менингоэнцефалит. Сэм впал в кому на 420 дней, а очнулся полностью парализованным. Блестящий спортсмен превратился в узника собственного тела, способного общаться лишь глазами. Он умер спустя восемь лет мучений.
«Мы сидели, пили вино, пытались казаться взрослыми, и по веранде прополз слизняк. Кто-то сказал: "Съешь его!" — и Сэм решился. Вот так все и случилось», — вспоминал позже его друг Джимми Гэлвин.
Бекон с сюрпризом
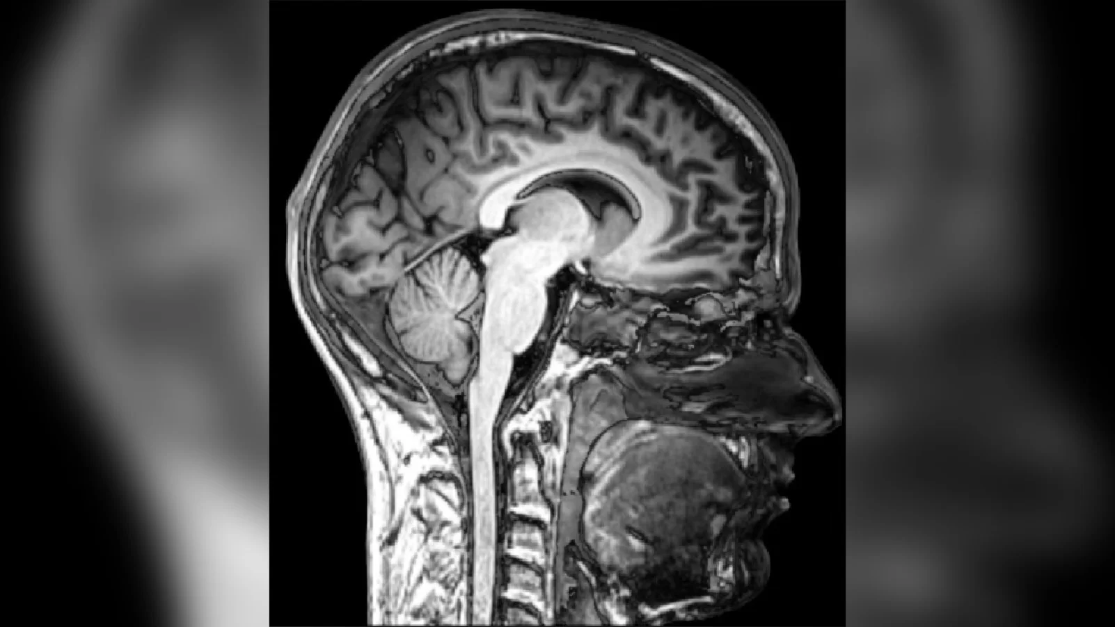
Любовь к «мясу с кровью» тоже требует пересмотра, но механизм здесь хитрее. 52-летний американец страдал от мигреней, которые не брали таблетки. МРТ показало: его мозг был нашпигован кистами — нейроцистицеркоз.
Как это случилось? Любовь к недожаренному бекону подарила ему взрослого червя в кишечнике (тениоз). Тот начал откладывать яйца. Небрежно помытые руки после туалета замкнули круг: мужчина заразил сам себя, проглотив яйца собственного паразита. Именно они прорвали оборону кишечника и ушли в мозг. В России похожая трагедия на племзаводе «Юбилейный» унесла жизнь 27-летнего парня. Он ухаживал за свиньями и пренебрегал гигиеной, что стало фатальным.
МРТ головного мозга 52-летнего американца
Сувенир из джунглей
Экзотический отдых может оставить не только загар. 29-летний житель Подмосковья вернулся с Филиппин, где активно дегустировал уличную еду. Вскоре начались боли в животе и тошнота. Врачи Долгопрудненской больницы обнаружили в его печени три огромные кисты.
Это был эхинококк. Яйца паразита могли попасть в организм не столько с мясом, сколько с плохо промытой зеленью или через грязные руки после контакта с уличной пылью. Одна из кист была готова лопнуть, что привело бы к анафилактическому шоку и мгновенной смерти. Хирурги провели ювелирную работу, удаляя паразитарные капсулы, чтобы не допустить разлива смертоносной жидкости.
Невидимые убийцы
Опасность таится не только в еде. Купание в пресных водоемах может закончиться встречей с амебой Naegleria fowleri. В США 12-летний Джейсен Карр погиб после купания в озере: «пожирающая мозг» амеба проникла через нос и вызвала необратимое разрушение тканей.
А в тёплых водах Флориды свирепствует бактерия Vibrio vulnificus. Она проникает через малейшие царапины, вызывая некроз, известный как «болезнь плотоядных бактерий». Четыре смерти за сезон — цена за желание освежиться в океане после серии ураганов.
Джейсен Карр
Вы уверены, что мыли руки достаточно тщательно перед тем, как взять телефон, с которого читаете этот текст?



